Exposición Mínima
Sistemas de radiología digital (DR) que reducen hasta un 60% la dosis de radiación, garantizando la seguridad biológica del personal.
- ■ Blindaje Plomado Certificado
- ■ Protección Gonadal y Tiroidea

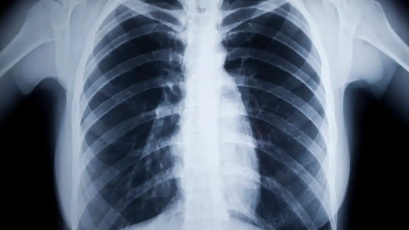
Vigilancia de salud con tecnología 100% digital. Especializados en tele-tórax bajo estándar OIT para detección de neumoconiosis y patologías de columna, garantizando resultados válidos para IESS y MSP.

Informe técnico: Optimización y mejores prácticas en Sala de apoyo a la lactancia.
Leer Informe
Informe técnico: Optimización y mejores prácticas en Espirometría.
Leer Informe
Análisis estratégico sobre Ecografía. Impacto y perspectivas.
Leer Informe
Análisis estratégico sobre Rayos X Digital. Impacto y perspectivas.
Leer Informe
Informe técnico: Optimización y mejores prácticas en Laboratorio Clínico.
Leer Informe
Análisis estratégico sobre Audiometría con cabina silente. Impacto y perspectivas.
Leer Informe
Informe técnico: Optimización y mejores prácticas en Campañas Preventivas de Salud.
Leer Informe
Análisis estratégico sobre Servicio Médico de Empresa. Impacto y perspectivas.
Leer Informe
Análisis estratégico sobre Exámenes ocupacionales. Impacto y perspectivas.
Leer Informe
Tendencias de mercado y evaluación de riesgos en Medicina Ocupacional.
Leer InformeNos encargamos de que su empresa cumpla con toda la normativa legal. Evite multas y riesgos.
Solicitar Asesoría